Fractura-Luxación de Lisfranc Crónica: Perspectivas Quirúrgicas y Conservadoras
Cirugía, Dolor crónico, Traumatología, Tobillo y pie

Resumen del caso
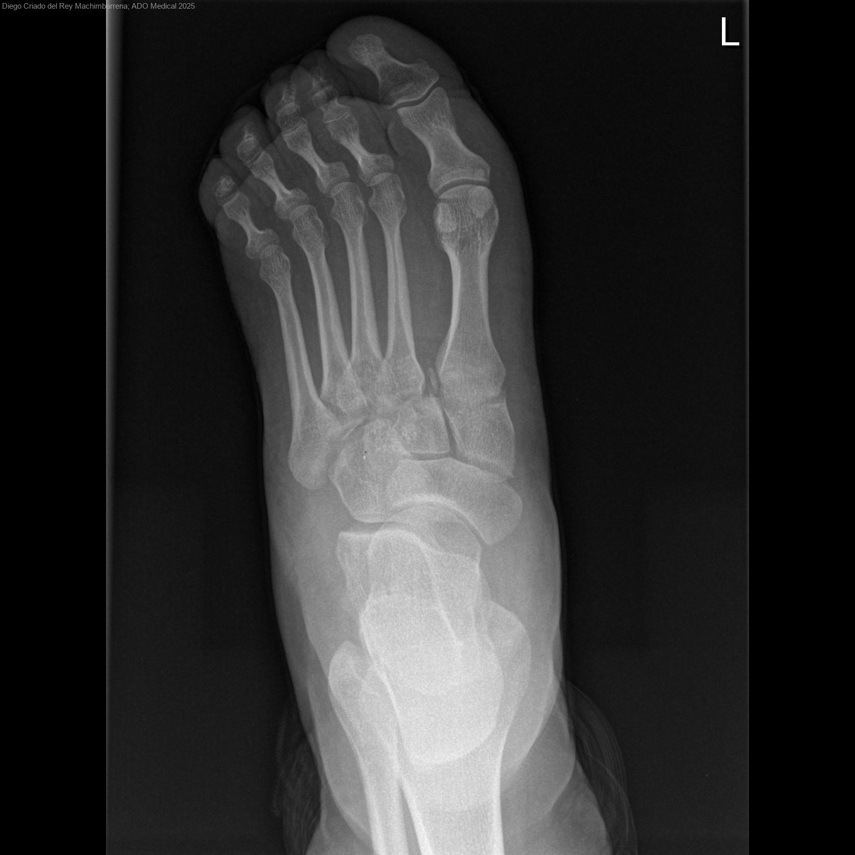
La fractura-luxación de Lisfranc es una lesión del mediopié, a nivel de las articulaciones tarsometatarsianas, que cuando no se diagnostica en fase aguda puede evolucionar hacia una forma crónica. Estas situaciones suelen asociarse a dolor...
Para ver el contenido completo debe estar registrado
Haga click aquí para iniciar sesión o registrarse

El acceso a ADO Medical está restringido a médicos, y hace uso del sistema de validación de la plataforma Navandú. Si aún no dispone de usuario es necesario proceder previamente a su registro.
Para cualquier consulta puede dirigirse al Centro de Atención Navandú.
Para iniciar sesión y registrarse en ADO Medical, le vamos a redirigir a la plataforma de validación profesional de Navandú.
AVISO
Está saliendo del sitio web de ADO Medical. Este enlace le llevará a un sitio web en el que no se aplica nuestra Política de Privacidad. Usted es el único responsable de sus interacciones con ese sitio web.