¿Es el ictus una causa de osteoporosis y fractura?. A propósito de un caso
Dolor crónico, Dolor agudo, Osteoporosis, Reumatología, Rehabilitación, Tratamiento del dolor, Neuro-rehabilitación, Columna dorsal, Columna lumbar
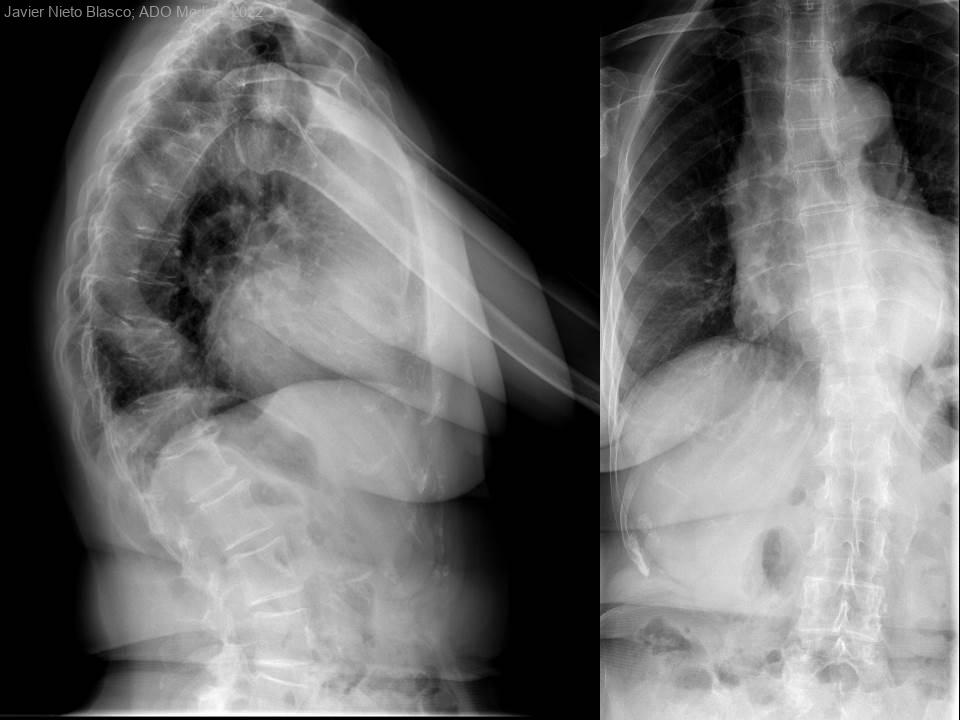
Resumen del caso
Mujer de 66 años, sin antecedentes de fracturas previas ni alteraciones metabólicas óseas conocidas, con ACV hemorrágico, con hemiparesia derecha espástica, dependiente parcial para las actividades de la vida diaria, que realiza marcha independiente en...
Para ver el contenido completo debe estar registrado
Haga click aquí para iniciar sesión o registrarse

El acceso a ADO Medical está restringido a médicos, y hace uso del sistema de validación de la plataforma Navandú. Si aún no dispone de usuario es necesario proceder previamente a su registro.
Para cualquier consulta puede dirigirse al Centro de Atención Navandú.
Para iniciar sesión y registrarse en ADO Medical, le vamos a redirigir a la plataforma de validación profesional de Navandú.
AVISO
Está saliendo del sitio web de ADO Medical. Este enlace le llevará a un sitio web en el que no se aplica nuestra Política de Privacidad. Usted es el único responsable de sus interacciones con ese sitio web.
