Dolor en paciente con rotura aguda del tendón rotuliano
Cirugía, Dolor agudo, Traumatología, Rehabilitación, Tratamiento del dolor, Rodilla
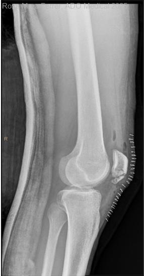
Resumen del caso
Paciente de 23 años acude a urgencias por dolor en rodilla derecha. Había caído de aproximadamente 2 metros de altura en su domicilio y posteriormente presentaba dolor en rodilla derecha con importante edema, mínima erosión superficial de...
Para ver el contenido completo debe estar registrado
Haga click aquí para iniciar sesión o registrarse

El acceso a ADO Medical está restringido a médicos, y hace uso del sistema de validación de la plataforma Navandú. Si aún no dispone de usuario es necesario proceder previamente a su registro.
Para cualquier consulta puede dirigirse al Centro de Atención Navandú.
Para iniciar sesión y registrarse en ADO Medical, le vamos a redirigir a la plataforma de validación profesional de Navandú.
AVISO
Está saliendo del sitio web de ADO Medical. Este enlace le llevará a un sitio web en el que no se aplica nuestra Política de Privacidad. Usted es el único responsable de sus interacciones con ese sitio web.
