Dolor maleolo perone
Dolor agudo, Traumatología pediátrica, Tobillo y pie
Resumen del caso
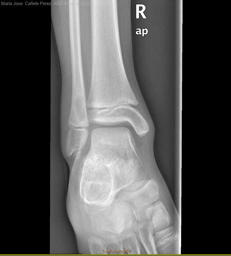
Niño de 9 años que acude a cita previa por dolor de tobillo derecho sin traumatismo previo de una semana de evolución, a la exploración se observa dolor a la palpación, se le pide RX donde se halla...
Para ver el contenido completo debe estar registrado
Haga click aquí para iniciar sesión o registrarse

El acceso a ADO Medical está restringido a médicos, y hace uso del sistema de validación de la plataforma Navandú. Si aún no dispone de usuario es necesario proceder previamente a su registro.
Para cualquier consulta puede dirigirse al Centro de Atención Navandú.
Para iniciar sesión y registrarse en ADO Medical, le vamos a redirigir a la plataforma de validación profesional de Navandú.
AVISO
Está saliendo del sitio web de ADO Medical. Este enlace le llevará a un sitio web en el que no se aplica nuestra Política de Privacidad. Usted es el único responsable de sus interacciones con ese sitio web.
